Transformative Smiles Before & After

Explore the transformative journey of smiles through our Before and After gallery, showcasing the remarkable outcomes of our dental expertise. Witness the positive impact of our comprehensive treatments, from smile makeovers to restorative procedures, as we bring confidence and vitality to our patients' oral health.

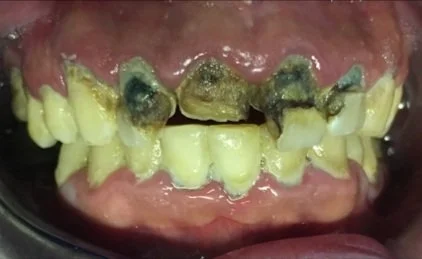
Before

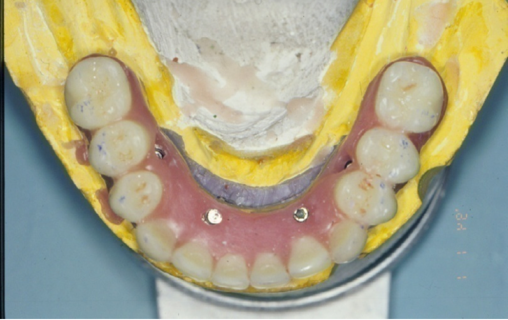
After

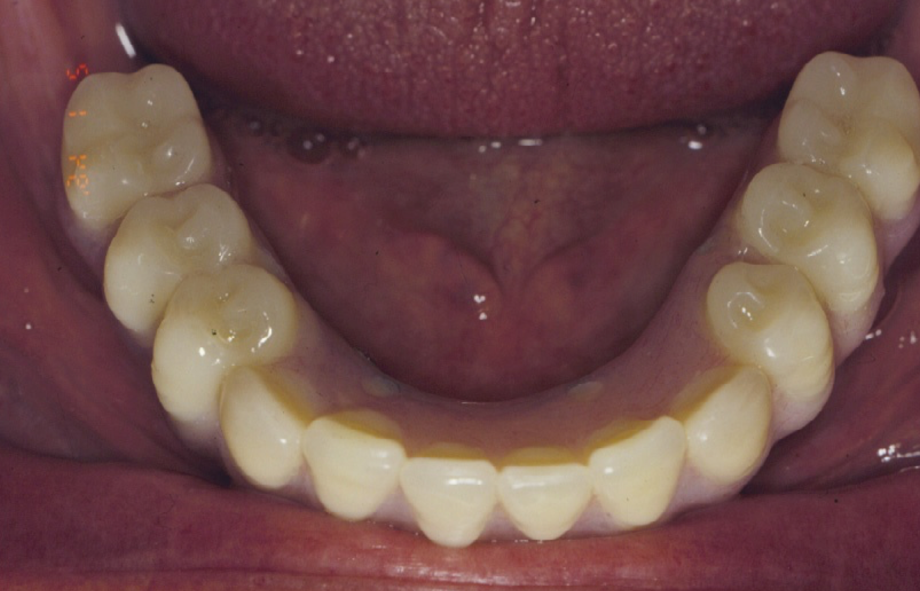
Before

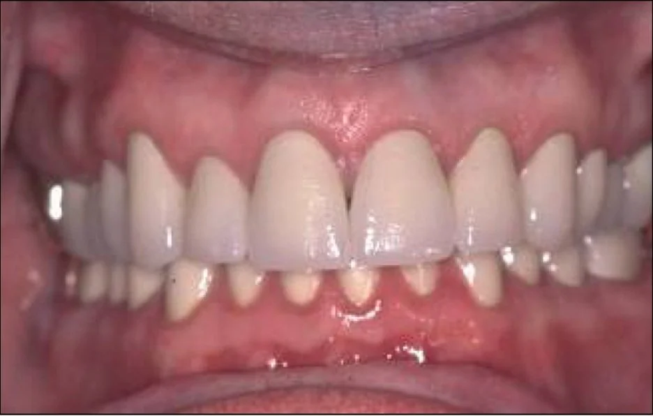
After

Before

After

Before

After

Before

After